-
족저 근막염 증상 및 치료법카테고리 없음 2025. 3. 8. 19:28
목차
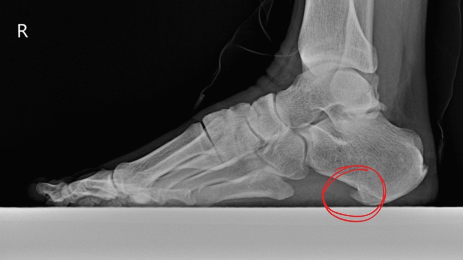
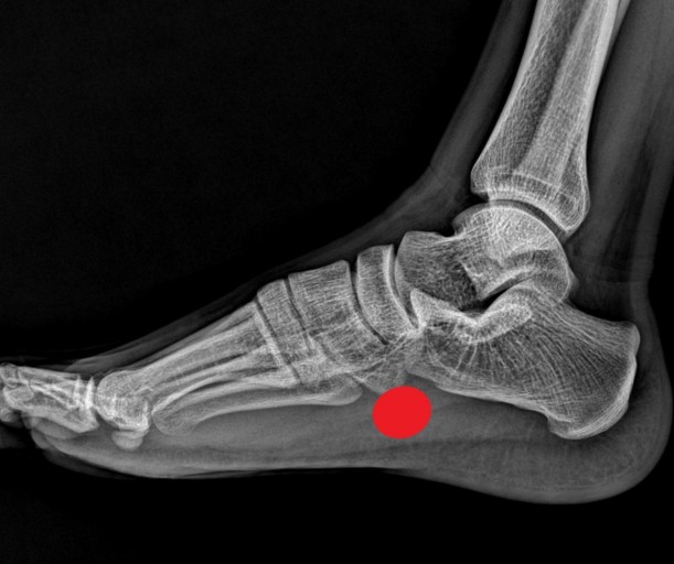
족저 근막염은 발바닥에 위치한 족저근막에 염증이 생기는 질환으로, 발꿈치에 통증을 유발합니다. 주로 하루 중 첫 번째 걸음에서 통증이 심하게 나타나며, 장기간 서 있거나 걷는 것에 어려움을 겪을 수 있습니다. 과도한 운동이나 비만, 잘못된 신발 착용 등으로 발병할 수 있습니다.
오늘은 족저 근막염 증상 10가지를 아주 자세히 살펴보고, 치료법도 간단히 정리해보겠습니다! 😊






족저 근막염 증상 족저 근막염 증상
1. 발꿈치 통증
족저 근막염의 가장 흔한 증상은 발꿈치 통증입니다. 첫 걸음을 디딜 때 통증이 가장 심하며, 일상적인 활동 중에도 통증이 발생할 수 있습니다. 통증은 발꿈치 안쪽에서 느껴지는 경우가 많습니다.
2. 아침에 더 심한 통증
많은 환자들이 아침에 일어나서 첫 발을 내딛을 때 통증을 경험합니다. 잠자는 동안 발바닥 근육이 수축되기 때문에 아침에 첫 발걸음에서 통증이 가장 강하게 나타납니다.






족저 근막염 증상 3. 걷거나 서 있을 때 통증 악화
장시간 걷거나 서 있을 때 통증이 심해지는 특징이 있습니다. 오랜 시간 발에 하중을 실으면 족저 근막에 자극이 가해져 통증이 더 심해질 수 있습니다.
4. 발꿈치의 뻣뻣함
족저 근막염은 발꿈치에 뻣뻣함을 동반합니다. 특히 오랜 시간 앉아 있거나 자고 난 후 발꿈치가 잘 풀리지 않고 뻣뻣한 느낌이 듭니다.






족저 근막염 증상 5. 발바닥 아랫부분의 통증
발꿈치 외에도 발바닥 아랫부분에 통증이 발생할 수 있습니다. 통증은 주로 발꿈치에서부터 발바닥 중앙까지 느껴지며, 장시간 걷거나 서 있을 때 더욱 심해집니다.
6. 발꿈치에 붓기
족저 근막염이 악화되면 발꿈치가 부풀어 오를 수 있습니다. 염증이 생기면서 발꿈치의 부기가 동반될 수 있습니다. 붓기는 보통 서 있거나 걷고 나서 더 뚜렷하게 나타납니다.






족저 근막염 증상 7. 자주 발생하는 발목 통증
족저 근막염이 있으면 발목에도 통증이 발생할 수 있습니다. 이는 발바닥의 과도한 긴장으로 인해 발목에 추가적인 부담이 가기 때문입니다.
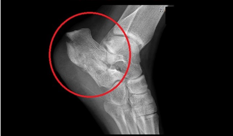
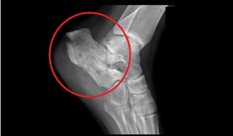
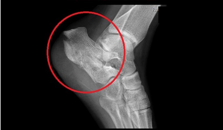
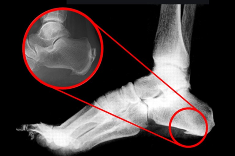
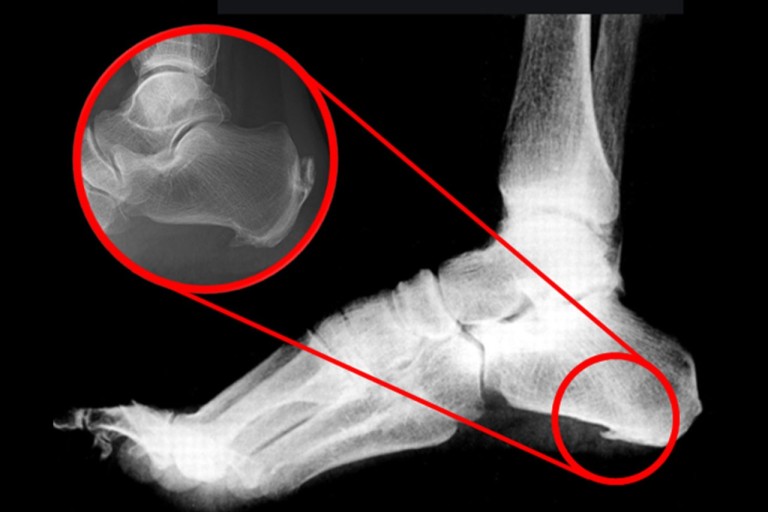
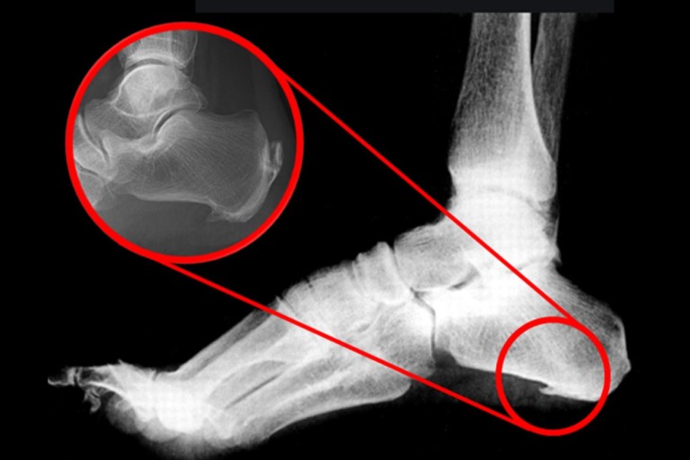
8. 발바닥에 딱딱한 결절
일부 환자들은 발꿈치에 결절이 생길 수 있습니다. 결절은 발꿈치 뼈에 작은 돌출부위로, 족저 근막염이 장기화되면 나타날 수 있습니다. 이 결절은 발꿈치를 눌렀을 때 통증을 유발합니다.






족저 근막염 증상 9. 신발 착용 시 불편함
족저 근막염이 있을 때 특히 딱딱한 신발을 신을 때 통증이 더 심해질 수 있습니다. 불편한 신발이나 높은 힐은 발꿈치와 발바닥에 불필요한 압력을 가하게 되어 증상을 악화시킬 수 있습니다.
10. 통증의 심한 발작
족저 근막염 환자들은 하루 중 특정 시간에 통증이 급격히 심해지는 경우가 많습니다. 보통 오전 중이나 긴 시간 걷고 나서 갑작스런 통증이 찾아올 수 있습니다.






족저 근막염 증상 족저 근막염 치료법
1. 스트레칭 및 운동
족저 근막염의 치료에서 중요한 것은 발바닥과 종아리 근육 스트레칭입니다. 발꿈치 근육을 풀어주는 스트레칭을 꾸준히 하면 통증 완화에 도움이 됩니다.
2. 소염제
염증이 있을 경우 소염제를 복용하거나 국소적 소염제를 바르면 염증을 완화시킬 수 있습니다. 소염제를 통해 통증을 경감시킬 수 있습니다.
3. 냉찜질
통증이 심할 때는 발꿈치 부위에 냉찜질을 해주면 염증을 완화하고 통증을 줄이는 데 효과적입니다. 20분 정도 냉찜질을 반복하면 통증이 감소합니다.
4. 맞춤형 깔창
편안한 신발과 맞춤형 깔창을 사용하여 발바닥에 가해지는 압력을 분산시킬 수 있습니다. 족저 근막염 치료에 있어 적절한 신발과 깔창은 매우 중요합니다.
5. 물리치료
물리치료를 통해 발꿈치와 발바닥 근육을 강화시키는 치료를 받을 수 있습니다. 또한 초음파 치료나 전기 자극 등을 통해 통증을 줄일 수 있습니다.
6. 체중 관리
과체중은 족저 근막염을 악화시킬 수 있기 때문에 체중을 관리하는 것이 중요합니다. 체중을 줄이면 발꿈치에 가해지는 부담을 덜어 통증을 줄일 수 있습니다.
7. 수술 치료
물리치료나 약물 치료로 효과를 보지 못하면 수술적 치료가 필요할 수 있습니다. 주로 족저 근막 절제술이나 발꿈치 뼈를 제거하는 수술이 시행됩니다.
족저 근막염은 일상생활에 불편함을 줄 수 있는 질환이지만, 적절한 치료와 관리를 통해 충분히 개선할 수 있습니다. 스트레칭과 맞춤형 깔창 사용 등 간단한 방법으로 증상을 완화할 수 있으니 조기에 치료를 시작하는 것이 중요합니다.
발꿈치 통증이 지속되면 바로 전문가의 상담을 받으세요! 😊
맥주효모의 효능 11가지 총정리
안녕하세요! 오늘은 많은 사람들이 건강 보조식품으로 자주 접하는 맥주효모에 대해 알아보려 합니다. 맥주효모는 우리의 몸에 다양한 유익한 효과를 제공하는데요, 특히 피부, 소화, 면역력 등
dlfjgrpd.dnsaud.com
레몬즙 효능 및 부작용 섭취방법
안녕하세요! 오늘은 많은 사람들이 사랑하는 건강 음료, 레몬즙의 효능에 대해 알아보려고 합니다. 레몬즙은 상큼한 맛뿐만 아니라 다양한 건강상의 이점을 제공하는데요, 간단하게 일상에서
dlfjgrpd.dnsaud.com
호두 효능 및 부작용 섭취 방법
안녕하세요! 오늘은 건강에 많은 이점을 선사하는 슈퍼푸드, 호두에 대해 알아보려 합니다. 호두는 맛있는 간식뿐만 아니라, 다양한 영양소로 가득 찬 건강식품입니다. 그럼 호두가 우리 몸에
dlfjgrpd.dnsaud.com